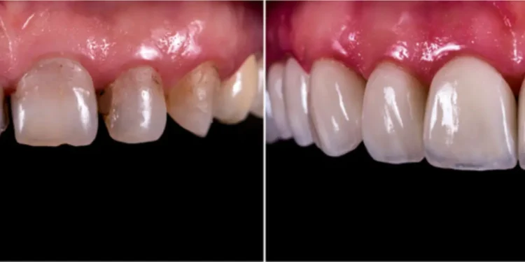
Chipped, cracked, or gapped teeth can affect your confidence and smile. You don’t have to live with these imperfections. Dental bonding offers a simple, effective solution. As a cosmetic dentist in Fresno, CA, understands, this process can quickly restore your teeth’s natural look. The technique involves applying a tooth-colored resin to your teeth. This resin bonds to the tooth, covering flaws and creating a seamless finish. Dental bonding is quick and usually painless. It’s a way to achieve a natural smile without complex procedures. This treatment can be completed in one visit, and you can immediately enjoy the results. There’s no need for multiple appointments or long recovery times. Dental bonding also strengthens your teeth, providing practical benefits alongside cosmetic improvements. Embrace the opportunity to enhance your smile and boost your confidence with dental bonding. Don’t wait to improve your dental health and overall appearance.
What is Dental Bonding?
Dental bonding involves using a special resin that adheres to your tooth. It’s molded and polished to match the surrounding teeth. The dentist starts by selecting a resin color that matches your natural teeth. Then, the tooth’s surface is roughened. A conditioning liquid is applied to help the resin adhere better. The resin is shaped and hardened with a special light. This process creates a strong bond between the tooth and the resin.
Benefits of Dental Bonding
- Quick procedure: Usually completed in one visit.
- Minimally invasive: Little to no enamel removal required.
- Cost-effective: Less expensive than veneers or crowns.
- Painless: Usually requires no anesthesia.
- Natural appearance: Resin blends with natural teeth.
Comparing Dental Bonding with Other Options
| Treatment Option | Procedure Time | Durability | Cost |
| Dental Bonding | One Visit | 3-10 years | Low |
| Veneers | Multiple Visits | 10-15 years | High |
| Crowns | Multiple Visits | 15+ years | High |
When to Consider Dental Bonding
You might consider dental bonding if you have minor cosmetic issues with your teeth. Chips, cracks, and gaps are common problems that bonding addresses. It’s also a good option for those looking to improve the appearance of discolored teeth. If you’re looking for a fast, affordable way to enhance your smile, dental bonding could be the right choice for you.
Maintenance and Care
Maintaining bonded teeth requires good oral hygiene. Brush twice a day and floss daily. Regular dental check-ups are important. Avoid biting into hard foods, like ice or candy, which can damage the bonding material. With proper care, bonded teeth can last several years.
Is Dental Bonding Right for You?
Consider dental bonding if you’re seeking a quick and affordable solution for minor dental issues. It’s suitable for children, teens, and adults. For those interested in permanent solutions, consulting with a dental professional is crucial. They can guide you through available options and recommend the best treatment.
Next Steps
To explore dental bonding further, speak with a professional. Schedule a consultation with a trusted dentist. Ask about the procedure and cost. Be sure to discuss your goals and any concerns you might have. For more information, visit the American Dental Association website. They offer reliable information on dental health and treatments.
Conclusion
Dental bonding offers a fast and effective way to improve your smile. It’s a practical solution for many cosmetic dental issues. With its affordability and ease, it’s an option worth considering. Take charge of your dental health and appearance. Consult with a professional to see how dental bonding can benefit you.




